Applications et traitements laser dans le domaine thérapeutique : boutons de fièvre, chéilites angulaires, aphtes, thérapie des ATM, leucoplasie.
Les propriétés anti-inflammatoires et analgésiques du laser diode jouent un rôle important dans le traitement de diverses lésions de la cavité buccale, telles que l’herpès, l’aphte, la chéilite, etc.
Le terme ATM désigne le système de l’articulation temporo-mandibulaire. Les perturbations dans cette zone provoquent des douleurs intenses qui se traduisent souvent par des difficultés à mâcher, des douleurs faciales, une flexion anormale du cou.
Le traitement au laser réduit la sensation de douleur et apporte un soulagement immédiat au patient, sans qu’il soit nécessaire de prendre des anti-inflammatoires ou des analgésiques.
La chéilite est une inflammation qui se situe généralement aux commissures des lèvres. Le traitement au laser consiste à irradier la zone affectée par la chéilite, tout en ciblant les zones immédiatement voisines. Cela permet de détruire les bactéries qui restent latentes sous la surface.
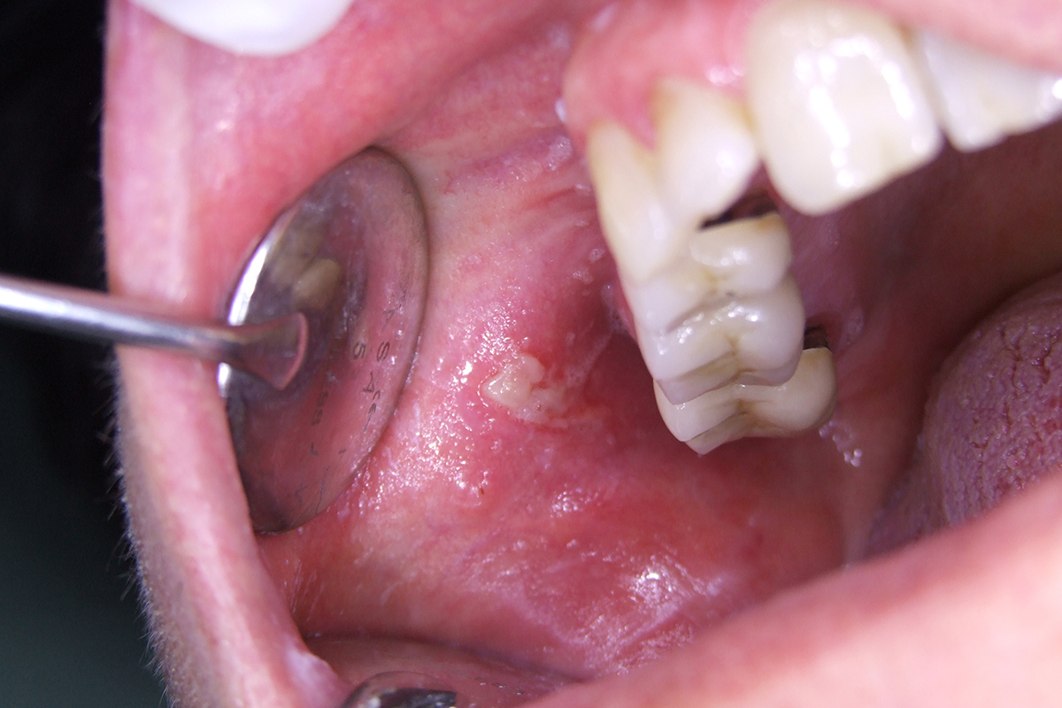
L’aphte est une lésion ronde, blanche ou grisâtre, entourée d’un halo rougeâtre, dont la taille peut varier de un à dix millimètres. Le traitement au laser permet de réduire considérablement l’inflammation et la douleur, ce qui accélère le processus de guérison, qui intervient au bout de 2 à 4 jours.
L’herpès labial est une maladie virale généralement causée par le virus de l’herpès simplex 1. L’utilisation du laser, grâce à ses capacités de décontamination et de stimulation des tissus, accélère la cicatrisation de la lésion et diminue l’inconfort créé par cette maladie.

TRAITEMENT HÉMANGIOME DANS LA CAVITÉ ORALE

TRAITEMENT DE L’HERPÈS SIMPLEX

TRAITEMENT DE L’HERPÈS LABIAL

TRAITEMENT DE L’APHTE BUCCAL
Vidéo
Vidéo