
Anamnesi generale: nulla di rilevante.
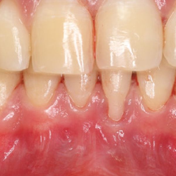
Anamnesi patologia: il paziente si presenta alla nostra osservazione lamentando sensibilità dentale a carico del 31. Dopo visita Parodontale e sondaggio si evidenzia una recessione di prima classe a carico dell’elemento 31, inoltre alla trazione del labbro, si manifesta la presenza di un frenulo labiale inferiore accessorio che agisce sul margine gengivale, probabile causa della recessione stessa.
La terapia delle recessioni gengivali prevede l’eliminazione delle cause scatenanti e di aumentare la gengiva aderente. Intercettare le cause nelle fasi inziali, quando il danno é reversibile, permette una restitutio ad integrum completa.
Frenulectomia frenulo accessorio labiale inferiore con Pluser.
Pluser permette di ottenere la vaporizzazione del tessuto con un’ottima emostasi.
A tre giorni dall’intervento si evidenzia un’avanzata riepitelizzazione ed un leggero recupero della recessione.
Frenulectomia labiale con laser ed erbio Pluser.
Emostasi. Taglio preciso e controllato. No sutura. Guarigione per seconda intenzione, no cicatrici, no recidive. Decontaminazione. Fotobiomodulazione.
Pluser é uno strumento di eccellenza per eseguire la vaporizzazione dei tessuti duri. Si dimostra estremamente versatile anche nella chirurgia mucogengivale. L’uso dello spray integrato nel manipolo di Pluser permette di eseguire un’incisione pulita e la vaporizzazione dei tessuti molli con un ridotto rialzo termico tessutale, con assenza di necrosi periferica. Il risultato é un aumento di gengiva aderente, che renderà più prevedibile il risultato del successivo intervento mucogengivale di ricopertura della radice.
Doctor Smile è una linea di prodotti di Lambda S.p.A.
P. IVA 02558810244
Società soggetta alla direzione e coordinamento di ROKO AB.
Lambda S.p.A. ha reso il proprio modello organizzativo di gestione e controllo aziendale conforme ai requisiti del Decreto Legislativo 231/2001. Per ulteriori informazioni, contattare: [email protected]
*Le informazioni riportate sono da considerarsi nei limiti della legge 24 luglio 1985, n. 409, e del decreto-legge 30 marzo 2023, n. 34 art. 15-ter.
![]()
Benvenuti nel sito web di DOCTOR SMILE!
DOCTOR SMILE è il brand mark di LAMBDA S.p.A. (Italia) per dispositivi laser medicali di propria produzione e altri dispositivi medici distribuiti.
Questo sito è destinato esclusivamente a operatori professionali.
Per proseguire la navigazione dichiaro di essere un operatore professionale.
SONO UN OPERATORE PROFESSIONALE