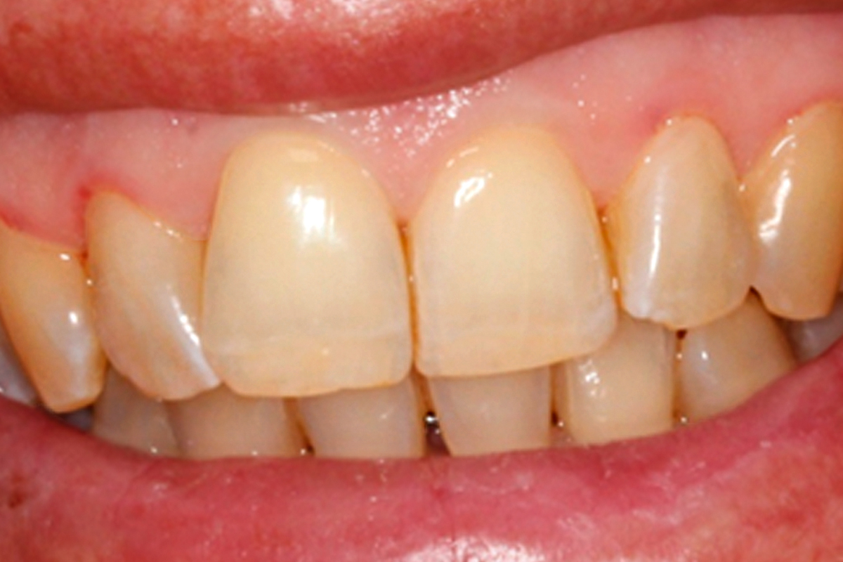
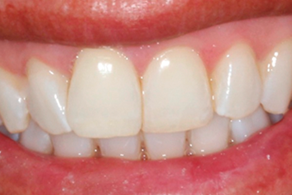
El tratamiento de blanqueamiento activado por láser es sin duda el medio más rápido y eficaz para conseguir el color blanco natural de unos dientes sanos, sin causar daños y sin inducir sensibilidad.
La acción blanqueadora se consigue mediante un proceso de oxidación del gel Doctor Smile LWS que contiene peróxido de hidrógeno, que se aplica sobre la superficie de cada diente y se activa mediante luz láser.
Gracias a esta activación, el peróxido comienza a disolverse y a liberar radicales libres que, actuando sobre los pigmentos moleculares, consiguen el efecto blanqueador deseado.

BLANQUEAMIENTO DENTAL ASISTIDO POR LÁSER
Doctor Smile es una línea de productos de Lambda S.p.A.
P.I. 02558810244
Sociedad sujeta a la dirección y coordinación de ROKO AB.
Lambda S.p.A. ha adaptado su modelo organizativo de gestión y control empresarial a los requisitos del Decreto Legislativo 231/2001. Para más información, contactar con: [email protected]
*Por favor, tenga en cuenta que las normativas y disposiciones legislativas pueden variar significativamente de un país a otro. Por lo tanto, se recomienda a los lectores/profesionales que consideren cuidadosamente las leyes locales y las normativas específicas del país o jurisdicción en el que ejercen o tienen la intención de ejercer la profesión dental.