Applications et traitements laser en chirurgie buccale : frénulectomie, gingivoplastie, hémostase, opusculectomie, papillectomie, ablation de fibromes et de kystes, conditionnement sulculaire, traitement des abcès.
Avec le laser à diode Wiser, l’acte chirurgical se déroule dans des conditions d’hémostase et de décontamination complètes du site chirurgical : cela permet une cicatrisation plus rapide et une diminution de l’enflure. En outre, par rapport à la chirurgie au scalpel, l’opération se déroule dans un champ exsangue, ce qui garantit une excellente visibilité du champ opératoire. Outre les propriétés bactéricides et coagulantes, l’absence totale de fasciculation du tissu musculaire et la grande prévisibilité du résultat constituent d’autres avantages indiscutables.
La chirurgie des tissus mous avec le laser erbium Pluser est particulièrement indiquée pour sa rapidité d’exécution et sa précision de coupe ; la capacité de contrôler les saignements permet une excellente visibilité du champ opératoire et accélère les temps de cicatrisation post-traitement. Le laser erbium est utilisé pour inciser la gencive afin de remodeler ses bords, d’enlever l’excès de tissu, de découvrir les dents incluses et bien d’autres choses encore.

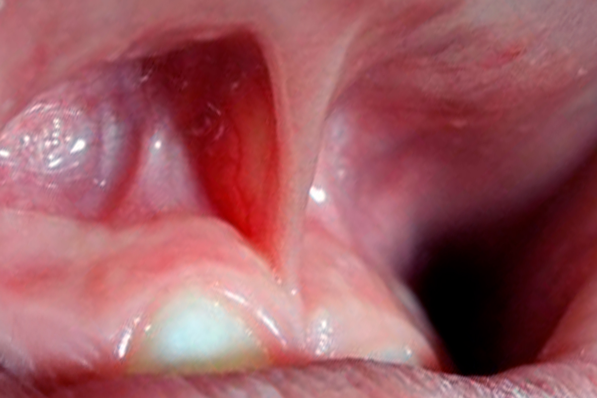
FRENECTOMIE LABIALE

ABLATION D’UN FIBROME À L’APEX LINGUAL

GINGIVECTOMIE

FRENECTOMIE LABIALE

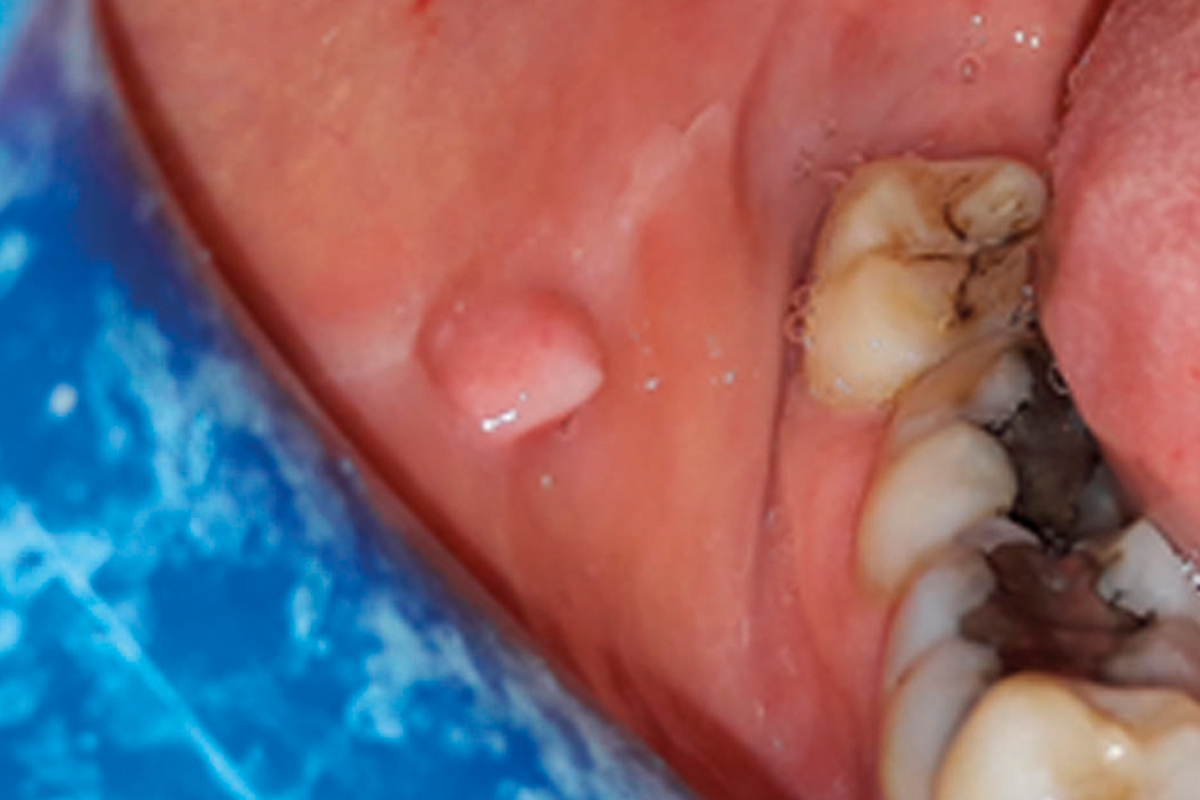
ABLATION D’UN FIBROME SUR LA MUQUEUSE JUGALE