Applications du laser en parodontologie : traitement de la parodontite et décontamination des poches gingivales, curetage, réduction de l'œdème et de l'inflammation.
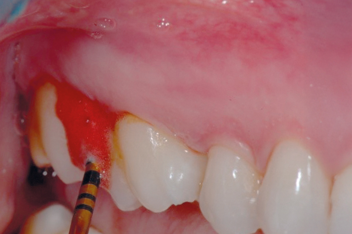
Grâce à son pouvoir bactéricide et biostimulant, le laser à diode Wiser est capable de réduire la flore bactérienne sous-gingivale en utilisant des fibres très fines d’un diamètre de 400 µm pour irradier et décontaminer des zones qui seraient autrement difficiles d’accès. La décontamination des poches parodontales permet d’éviter l’apparition de complications qui, dans les cas les plus graves, peuvent conduire à la perte de la dent elle-même.
Dans le traitement parodontal, un premier passage au laser est toujours recommandé afin d’exploiter ses effets analgésiques ; le laser inverse en effet la pompe sodium-potassium de la membrane cellulaire pendant quelques minutes. De cette manière, il sera possible d’opérer avec d’autres instruments sans causer d’inconfort au patient.
En cas de récession gingivale, le double effet décontaminant et biostimulant amènera les tissus mous à retrouver leur forme physiologique, dans le cadre d’une thérapie hygiénique complète, bien entendu.

DÉCONTAMINATION DE LA POCHE PARODONTALE