Applications and laser treatments in conservative dentistry: caries removal, enamel etching, fissure sealing, composite removal, veneers and crowns removal.
The high peak power of the Pluser erbium laser enables fast work in conservative treatments, but with numerous advantages over the common turbine.
The absence of vibration and contact is more tolerable for patients; the laser action also prevents the formation of fractures that weaken the tooth structure.
Furthermore, as carious tissue contains more water than dentine (25% compared to 20%), it is possible to act more selectively in carious removal; by dosing the energy appropriately, it is possible to carry out excellent conservative treatment without causing damage to the pulp chamber.
Laser light proves to be a very useful tool for various applications on hard tissue, such as enamel etching, fissure sealing or bonding for the subsequent placement of orthodontic brackets.

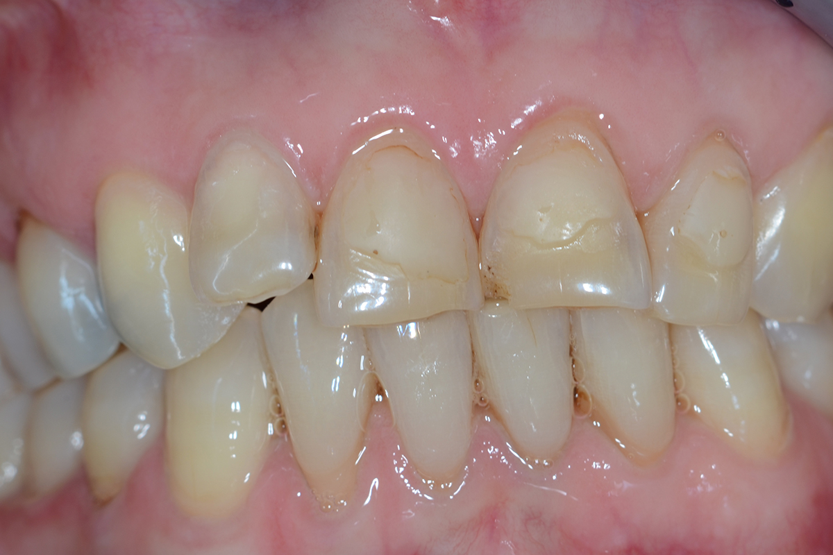
CONSERVATIVE TREATMENT OF TEETH 21 AND 22

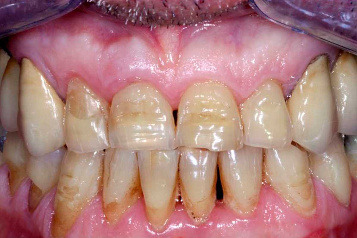
CONSERVATIVE TREATMENT OF VESTIBULAR LESIONS OF UPPER INCISORS

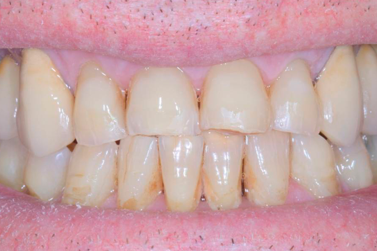
CONSERVATIVE TREATMENT OF TOOTH 22

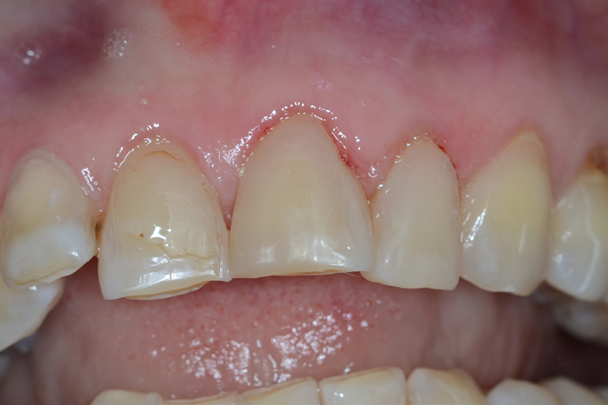
VENEER REMOVAL